ابتكار طبي: زراعة عين إلكترونية يعيد الرؤية لمرضى فقدان البصر
حققت تجربة سريرية أوروبية رائدة نجاحًا كبيرًا في استعادة القدرة على القراءة لمرضى فقدان البصر، حيث أظهرت نتائج نشرت في مجلة "نيو إنجلاند جورنال أوف ميديسين" أن زرع عين إلكتروني مدعومًا بنظارات واقع معزز مكّن 84% من المشاركين من قراءة الحروف والأرقام والكلمات عبر عين فقدت رؤيتها بسبب الضمور الجغرافي الناتج عن التنكس البقعي الجاف (AMD).
التنكس البقعي الجاف هو مرض غير قابل للعلاج يؤدي إلى تدهور خلايا الشبكية المسؤولة عن الرؤية المركزية، مما يتسبب في فقدان تدريجي للرؤية المركزية. هذا الإنجاز يُعد نقلة نوعية في تاريخ تقنيات الرؤية الاصطناعية.
اقرأ أيضًا: هل تنهي قطرات العين عصر النظارات؟ دراسة تكشف الحقيقة
شملت التجربة 38 مريضًا تم علاجهم في 17 مستشفى في بريطانيا، فرنسا، إيطاليا، هولندا، وألمانيا، تحت إشراف الدكتور فرانك هولز من جامعة بون. وكان جميع المرضى الذين شاركوا في التجربة قد فقدوا رؤيتهم المركزية في العين المعالجة، مع بقاء رؤية محيطية ضعيفة.
وبعد العلاج، استعاد المرضى قدرتهم على الرؤية المركزية، وتمكنوا من قراءة متوسط 5 أسطر على لوحة الرؤية، بينما كان بعضهم غير قادر على رؤية اللوحة قبل الزرع.
وأكد ماهي موكيت، أستاذ مشارك بمعهد طب العيون في جامعة لندن قائلًا: "هذا يمثل بداية عصر جديد في الرؤية الاصطناعية. استعادة الرؤية المركزية للمكفوفين أمر غير مسبوق. القراءة تُحسن الحياة، ترفع الروح المعنوية، وتُعيد الثقة والاستقلال."
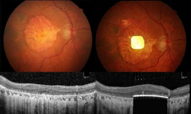
آلية زراعة العين الإلكترونية
يُعد زرع العين الإلكترونية PRIMA أول جهاز يُمكّن الأشخاص الذين فقدوا بصرهم بشكل كامل من قراءة النصوص عبر عين عمياء. ويتكون هذا الجهاز من شريحة لاسلكية، وهي شريحة رقيقة جدًا بسمك 30 ميكرومتر، أي أقل من نصف سمك شعرة الإنسان، وتُشبه في حجمها بطاقة SIM.
وتُزرع هذه الشريحة تحت الشبكية في العين، وهي المنطقة المسؤولة عن الرؤية المركزية، التي تكون قد تعرضت للتلف نتيجة الإصابة بالتنكس البقعي الجاف (AMD) أو أمراض أخرى.
اقرأ أيضًا: علامة في العين قد تشير إلى ارتفاع الكوليسترول دون أعراض
ويتم زرع الشريحة باستخدام عملية جراحية تُسمى "فيتيكتومي"، وهي إزالة الجيلي الزجاجي من العين. يتم بعدها إدخال الشريحة عبر فتحة صغيرة تُسمى "باب فخ" لتثبيتها في مكانها تحت الشبكية، وتستغرق هذه العملية الجراحية أقل من ساعتين، وبعدها يبدأ المريض في استخدام الجهاز.
ويتم تفعيل الشريحة بعد شهر من العملية باستخدام نظارات واقع معزز مزودة بكاميرا فيديو متصلة بحاسوب محمول بحزام يحتوي على نظام ذكاء اصطناعي وميزة التكبير.
وتقوم الكاميرا بإرسال أشعة تحت حمراء إلى الشريحة، التي تحولها إلى إشارات كهربائية تُنقل عبر العصب البصري إلى الدماغ حيث تُفسّر كصور مرئية. يخضع المرضى لبرنامج إعادة تأهيل مكثف لمدة أشهر لتعلم كيفية تكبير النصوص ومسح الكائنات.
لم تُسجل أي تدهورات في الرؤية المحيطية، بينما استكشف المرضى الجهاز واستخدموه في أنشطة مختلفة، حيث استخدم أحد المرضى الفرنسيين النظام في التنقل عبر مترو باريس.
يُصيب التنكس البقعي الجاف خلايا الشبكية ببطء، مُسبّبًا فقدانًا مركزيًا يتطور إلى ضمور جغرافي (Geographic Atrophy) يُذيب الشبكية المركزية، مُصيبًا 5 ملايين عالميًا دون علاج.
وأضاف موكيت: "لا علاج مرخص للتنكس الجاف؛ هذا الباب مفتوح لأجهزة متعددة الأمراض. الإعادة التأهيل أساسي؛ كبار السن فقدوا القراءة والوجوه، الآن يستعيدونها، فالقراءة أكثر ما يفتقدونه".
وتقوم شركة ساينس كوربوريشن Science Corporation بتطوير الجهاز حاليًا، مما يمهد الطريق للحصول على الموافقة التسويقية له.
