اكتشاف مذهل بالليزر يعيد الأمل لضعف البصر عند كبار السن
في اختراق علمي لافت، أعلن علماء من جامعة آلتو عن تطوير علاج جديد بالليزر يمكنه أن يوقف العمى قبل بدايته، من خلال تحفيز آليات الإصلاح الذاتي في العين باستخدام حرارة مُتحكم بها بدقة.
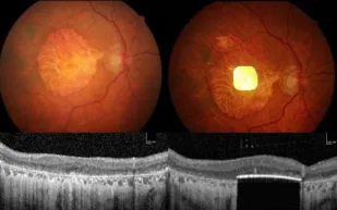
ويساعد هذا العلاج الجديد على إبطاء أو إيقاف تطور التنكس البقعي الجاف، وهو مرض يصيب الجزء المسؤول عن الرؤية الدقيقة في شبكية العين ويُعد من أكثر أسباب ضعف البصر شيوعًا بين كبار السن، من خلال تحفيز الخلايا على تنظيف نفسها وإصلاح الأضرار داخل البقعة الشبكية.
ويعاني نحو ثلث من تجاوزوا سن الثمانين من هذا النوع من التنكس البقعي المرتبط بتقدم العمر، الذي يؤدي إلى تدهور الرؤية المركزية، بينما لا يزال حتى اليوم بلا علاج فعّال.
قال أستاذ علم وظائف الأعضاء البصرية آري كوسكيلاينن إن التقدم في العمر يضعف قدرة خلايا العين على حماية نفسها، مما يعرضها لما يُعرف بالإجهاد التأكسدي، وهو تراكم الجذور الحرة التي تتلف البروتينات والدهون داخل العين، فتتكون ترسبات دهنية تُسمى "درزن" تُعد العلامة المميزة لمرض التنكس البقعي الجاف.
تأثير التحفيز الحراري على إصلاح الخلايا البصرية
يعمل الأسلوب الجديد على تسخين الأنسجة المصابة ببضع درجات مئوية دون الإضرار بها، وهو إنجاز صعب نظرًا لصعوبة قياس الحرارة خلف الشبكية.
وتمكن فريق آلتو من استخدام ضوء الأشعة تحت الحمراء مع نظام مراقبة حراري فوري يسمح بتوجيه الليزر بدقة وأمان.
ويعمل التسخين على تنشيط ما يُعرف بـ"بروتينات الصدمة الحرارية"، وهي بروتينات تساعد خلايا العين على إصلاح الأجزاء التالفة أو التخلص منها عند عدم قدرتها على الإصلاح. وإذا كانت المواد التالفة قد تراكمت بالفعل، تبدأ عملية أخرى تُسمى "الالتهام الذاتي" تتولى تنظيف الخلايا من هذه المواد وإزالتها بالكامل.
وأكد كوسكيلاينن أن الفريق نجح في تفعيل كلتا العمليتين باستخدام موجات الحرارة الخفيفة، موضحًا أن "ما نقوم به يشبه عملية تنظيف بيولوجية داخل العين".
وأضاف كوسكيلاينن أن "العلاج بحاجة إلى تكرار منتظم لأن استجابة العين تبدأ بالتراجع بعد عدة أيام"، مشيرًا إلى أن التقنية قد تُصبح متاحة في العيادات خلال ثلاث سنوات فقط.
